0
There are 0 item in your cart
Cart Subtotal $0.00 Checkout
>   Home   >   Products   >   Primary Antibodies   >   Modified Antibody   >   Acetyl-Histone H2B (Lys20) Rabbit mAb   

Acetyl-Histone H2B (Lys20) Rabbit mAb

 
Catalog #
ABZ5257
Application
WB, IF, FC, ICC, IHC-P
Reactivity
Human, Mouse, Rat
Isotype
IgG
 
Be the first to write a review
 
  • Western blot analysis of Histone H2B (acetyl K20) in Hela treated with TSA lysates using Acetyl-Histone H2B (Lys20) antibody.
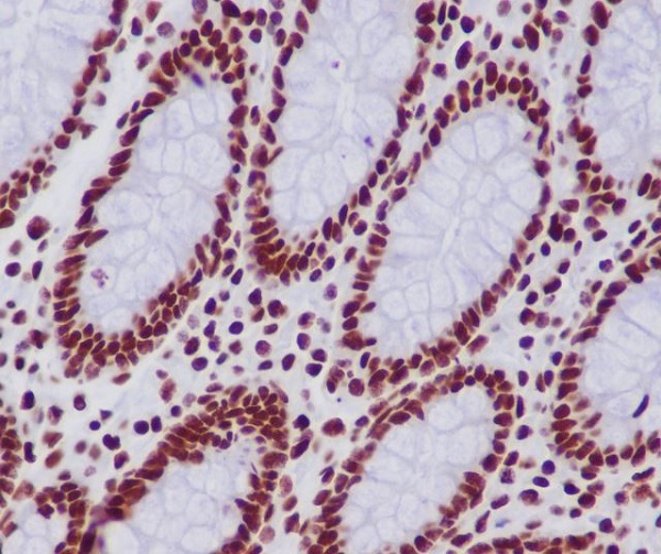
  • Immunohistochemistry analysis of paraffin-embedded Human colon using Histone H2B (acetyl K20) antibody.High-pressure and temperature Sodium Citrate pH 6.0 was used for antigen retrieval.
 Catalog #AvailabilitySizeQuantityUnit Price Save For Later Wish List
ABZ5257-100 2 weeks 100 µL $499.00
Select product before adding to cart
ABZ5257-20 2 weeks 20 µL $149.00
  • Datasheet
  • Citations
  • Reviews

Product Overview

NameAcetyl-Histone H2B (Lys20) Rabbit mAb
Host SpeciesRabbit
ClonalityMonoclonal
IsotypeIgG
Species Reactivity
Reacts WithHuman, Mouse, Rat
Calculated MW
Calculated MW: 14 kDa; Observed MW: 14 kDa
Buffer System
Liquid in 50mM Tris-Glycine(pH 7.4), 0.15M NaCl, 40%Glycerol, 0.01% sodium azide and 0.05% BSA.
Storage
Store at 4°C short term. Aliquot and store at -20°C long term. Avoid freeze/thaw cycles.
Recommended Dilution
WB-1:1000-1:5000; IHC-P-1:50-1:100; ICC/IF-1:200-1:500; FC-1:20-1:100
Purification
Affinity Chromatography
Conjugation
Unconjugated
Modification
Acetylated
Form
Liquid
Background
The nucleosome, made up of four core histone proteins (H2A, H2B, H3, and H4), is the primary building block of chromatin. Originally thought to function as a static scaffold for DNA packaging, histones have now been shown to be dynamic proteins, undergoing multiple types of post-translational modifications, including acetylation, phosphorylation, methylation, and ubiquitination. The p300/CBP histone acetyltransferases acetylate multiple lysine residues in the amino terminal tail of histone H2B (Lys5, 12, 15, and 20) at gene promoters during transcriptional activation. Hyper-acetylation of the histone tails neutralizes the positive charge of these domains and is believed to weaken histone-DNA and nucleosome-nucleosome interactions, thereby destabilizing chromatin structure and increasing the access of DNA to various DNA-binding proteins. In addition, acetylation of specific lysine residues creates docking sites that facilitate recruitment of many transcription and chromatin regulatory proteins that contain a bromodomain, which binds to acetylated lysine residues. Histone H2B is mono-ubiquitinated at Lys120 during transcriptional activation by the RAD6 E2 protein in conjunction with the BRE1A/BRE1B E3 ligase (also known as RNF20/RNF40). Mono-ubiquitinated histone H2B Lys120 is associated with the transcribed region of active genes and stimulates transcriptional elongation by facilitating FACT-dependent chromatin remodeling. In addition, it is essential for subsequent methylation of histone H3 Lys4 and Lys79, two additional histone modifications that regulate transcriptional initiation and elongation. In response to metabolic stress, AMPK is recruited to responsive genes and phosphorylates histone H2B at Lys36, both at promoters and in transcribed regions of genes, and may regulate transcriptional elongation. In response to multiple apoptotic stimuli, histone H2B is phosphorylated at Ser14 by the Mst1 kinase. Upon induction of apoptosis, Mst1 is cleaved and activated by caspase-3, leading to global phosphorylation of histone H2B during chromatin condensation. Interestingly, histone H2B is rapidly phosphorylated at irradiation-induced DNA damage foci in mouse embryonic fibroblasts. In this case, phosphorylation at Ser14 is rapid, depends on prior phosphorylation of H2AX Ser139, and occurs in the absence of apoptosis, suggesting that Ser14 phosphorylation may have distinct roles in DNA-damage repair and apoptosis.
Citation banner

Thousands of laboratories across the world have published research that depended on the performance of antibodies from ADMEbio to advance their research.
Check out links to articles that cite our products in major peer-reviewed journals, organized by research category.

Thank you,
ADMEbio Team

Citation banner
Be the first to review product

ADMEbio welcomes feedback from our customers.

  • Be seen as an expert in the field of the products you are reviewing
  • Showcase your results (you can upload an image) to the antibody community. New product applications are welcome!
  • Share your experience to help other researchers make more informed decisions.
  • Easy process through our 5 star rating system and single login through your account.

Thank you,
ADMEbio Team






Order Information
Call
760-390-3989
Shipping Information
For shipping outside United State, please contact
sales@admebio.com