0
There are 0 item in your cart
Cart Subtotal $0.00 Checkout

KD-Validated Anti-Phospho-GSK3 (alpha + beta)(Y216 + Y279) Rabbit Monoclonal Antibody

Rabbit monoclonal antibody

 
Catalog #
ABG1436
Application
WB, FC, ICC
Uniprot Id
P49840/P49841
Reactivity
Rat
Isotype
Rabbit IgG
 
Be the first to write a review
 
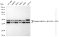
  • Western blotting analysis using anti-Phospho-GSK3 (alpha + beta)(Y216 + Y279) antibody (Cat#ABG1436). Total cell lysates (30 µg) from various cell lines were loaded and separated by SDS-PAGE. The blot was incubated with anti-Phospho-GSK3 (alpha + beta)(Y216 + Y279) antibody (Cat#ABG1436, 1:5,000) and HRP-conjugated goat anti-rabbit secondary antibody respectively.
  • Western blotting analysis using anti-Phospho-GSK3 (alpha + beta)(Y216 + Y279) antibody (Cat#ABG1436). Phospho-GSK3 (alpha + beta)(Y216 + Y279) expression in wild type (WT) and Phospho-GSK3 (alpha + beta)(Y216 + Y279) shRNA knockdown (KD) HeLa cells with 30 µg of total cell lysates. Hsp90 α serves as a loading control. The blot was incubated with anti-Phospho-GSK3 (alpha + beta)(Y216 + Y279) antibody (Cat#ABG1436, 1:5,000) and HRP-conjugated goat anti-rabbit secondary antibody respectively.
  • Flow cytometric analysis of Phospho-GSK3 (alpha + beta)(Y216 + Y279) expression in C2C12 cells using Phospho-GSK3 (alpha + beta)(Y216 + Y279) antibody (Cat#ABG1436, 1:2,000). Green, isotype control; red, Phospho-GSK3 (alpha + beta)(Y216 + Y279).
  • Immunocytochemical staining of C2C12 cells with Phospho-GSK3 (alpha + beta)(Y216 + Y279) antibody (Cat#ABG1436, 1:1,000). Nuclei were stained blue with DAPI; Phospho-GSK3 (alpha + beta)(Y216 + Y279) was stained magenta with Alexa Fluor® 647. Images were taken using Leica stellaris 5. Protein abundance based on laser Intensity and smart gain: Medium. Scale bar: 20 µm.
 Catalog #AvailabilitySizeQuantityUnit Price Save For Later Wish List
ABG1436-100 3 days 100 µL $499.00
Select product before adding to cart
ABG1436-20 3 days 20 µL $149.00
  • Datasheet
  • Citations
  • Reviews

Product Overview

NameKD-Validated Anti-Phospho-GSK3 (alpha + beta)(Y216 + Y279) Rabbit Monoclonal Antibody
Accession (Primary)P49840/P49841
ClonalityMonoclonal
IsotypeRabbit IgG
Clone Names23GB4380
Immunogen
A synthesized peptide derived from human Phospho-GSK3 (alpha + beta)(Y216 + Y279)
Species Reactivity
Reacts WithRat
Calculated MW
Predicted, 51 kDa, observed, 46,51 kDa
Storage Buffer
Supplied in PBS (pH 7.4) containing 50% glycerol, and 0.02% sodium azide.
Recommended Dilution
Western Blotting (WB): 1:1,000-1:5,000 Flow Cytometry (FCM): 1:2,000 Immunocytochemistry (IC): 1:1,000

Target Information: ( P49840/P49841 )

NameGSK3A
Other Names
GSK3A; Glycogen Synthase Kinase 3 Alpha; Serine/Threonine-Protein Kinase GSK3A; Glycogen Synthase Kinase-3 Alpha; EC 2.7.11.26; GSK-3 Alpha; EC 2.7.11.1; EC 2.7.11;Glycogen Synthase Kinase 3 Beta; Serine/Threonine-Protein Kinase GSK3B; Glycogen Synthase Kinase-3 Beta; EC 2.7.11.26; GSK-3 Beta; EC 2.7.11.1; EC 2.7.11
Citation banner

Thousands of laboratories across the world have published research that depended on the performance of antibodies from ADMEbio to advance their research.
Check out links to articles that cite our products in major peer-reviewed journals, organized by research category.

Thank you,
ADMEbio Team

Citation banner
Be the first to review product

ADMEbio welcomes feedback from our customers.

  • Be seen as an expert in the field of the products you are reviewing
  • Showcase your results (you can upload an image) to the antibody community. New product applications are welcome!
  • Share your experience to help other researchers make more informed decisions.
  • Easy process through our 5 star rating system and single login through your account.

Thank you,
ADMEbio Team






Order Information
Call
760-390-3989
Shipping Information
For shipping outside United State, please contact
sales@admebio.com